AuxTel Image out of focus

Overview

This procedure should be used when images appear out of focus due to a WEP failure or other related issues. Users will notice images ranging from slightly out of focus to large donut appearances when ATHexapod offsets are not correctly applied.

Error diagnosis

  • The focus script auxtel/latiss_wep_align.py might fail, leaving the system out of focus.

  • These out of focus images might vary from slightly out of focus image when the LATISS WEP align script took the system out of focus, to complete out-of-focus images that can appear as large donuts when ATHexapod offsets are left in intra or extra focus positions due to a script failure.

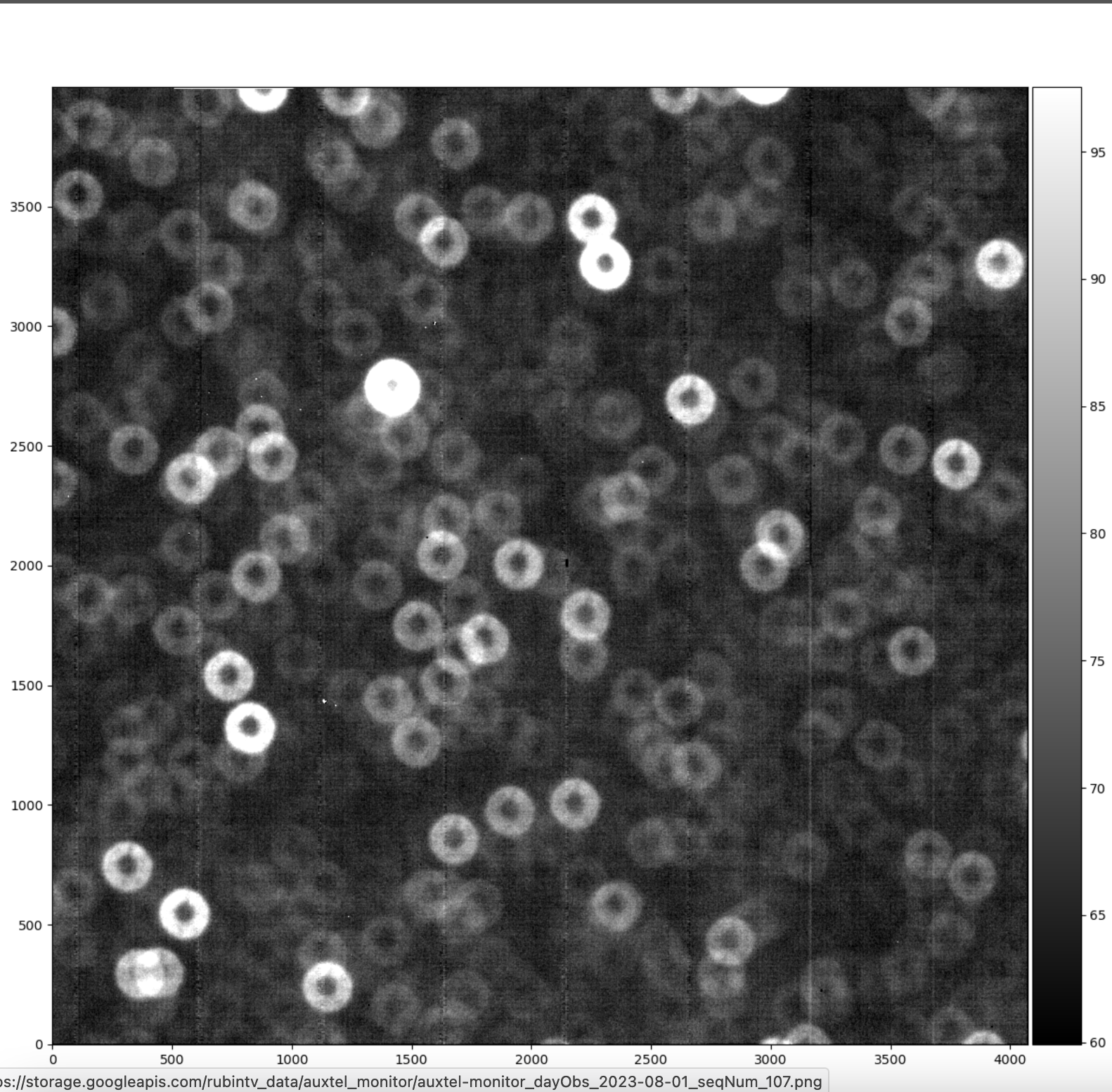
../../../_images/min-focus.png

Slightly out-of-focus image.

../../../_images/out-focus.png

Extreme out-of-focus image.

Procedure Steps

  1. Pause LOVE ATQueue.

  1. Clear all ATAOS offsets for the x, y, and z axes. Load and run the standard script auxtel/offset_ataos.py moving the script up in the queue with the following configuration:

    auxtel/offset_ataos.py
    reset_offsets: all
    
  2. Run the auxtel/latiss_wep_align.py external script with the configuration below to find a new target in the area of the sky of your choice. Replace az and el.

    auxtel/latiss_wep_align.py
    find_target:
       az: 135
       el: 40
       mag_limit: 8.0
    
  3. Keep playing the rest of the scripts in the queue, ensuring the system is now in focus.

  4. Complete the procedure by verifying the system is in focus.

Post-Condition

  • System is back in focus.

Contingency

If the procedure was not successful, report the issue immediately in the #summit-auxtel channel.

  1. If step 2 doesn’t work and you see a large number in the ATAOS offsets values at the AuxTel Monitor LOVE dashboard, it is because offsets had been wrongly accumulated.

    Restart ATAOS: Cycle ATAOS CSC to STANDBY and back to ENABLED state.

  2. If ATAOS was restarted, corrections need to be re-enabled.

    Use run_command.py with the following configuration to re-enable ATAOS corrections.

    run_command.py to enable AOS corrections
    component: ATAOS
    cmd: enableCorrection
    parameters:
       hexapod: true
       m1: true
       atspectrograph: true